PA Blog
GSSE Questions – Obturator nerve
Who’s comfortable with the branches of the lumbar plexus? More specifically the obturator nerve? DM on our social for answers! To access thousands of practice questions designed specifically for the Generic Surgical Sciences Exam (GSSE), based on the recommended text...
Archie Cochrane
Archibald Leman Cochrane – the surname says it all. Heralded as the father of modern evidence-based medicine and clinical epidemiology, Archie Cochrane was a Scottish doctor and meticulous epidemiologist, renowned for his book Effectiveness and Efficiency: Random...
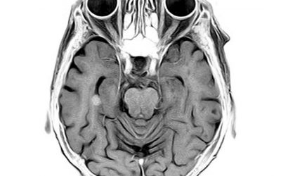
The Gamma Knife
The application of new technology to the field of surgery is such an exciting area and is expanding at an exponential rate. The gamma knife is one example of the power of innovation to revolutionise surgical intervention. This technology now allows previously...
Give it everything! Oct GSSE 2021
To all our members sitting the GSSE tomorrow, we want to wish you the best of luck! Stay calm, stay focused, and remember, in two days time this exam will be behind you so give it everything!
Breast cancer & axillary dissection
A good one to know for all general surgery trainees and anyone interested in breast cancer surgery! This publication by Giuliano et al. is such an important article to know and a critical piece of research which has since directed the treatment of women with early...
3K GIVEAWAY!
🥳 To celebrate our 3000th follower we wish to thank all of you for coming on this journey with us – by offering a 3 month free membership giveaway! It has been incredible to see Primary Anatomy grow into the community it is today of medical students, PreSET and...
Robotic Arm Assisted Surgery
Check out this incredible piece of technology! The Stryker Mako, Robotic-Arm Assisted Surgery! Primarily being deployed in orthopaedic arthroplasty. The Mako allows improved precision and reproducibility in the all-important osteotomies performed during joint...
Head & Neck GSSE Practice Question!
You must know your head & neck anatomy well, it represents the largest number of questions in the anatomy component of the exam. So, make sure you’re giving this region ample time in your study. Head & neck is high yield! Check out PrimaryAnatomy.com for our...
Proudly Supporting Curtin Surgical Students’ Association 2021
Primary Anatomy is incredibly proud to announce our partnership with the Curtin Surgical Students’ Association, we will be sponsoring the CSSA for 2021 and beyond! CSSA is a student run organisation dedicated to immersing Curtin medical students in the field of...
October GSSE 2021
The next GSSE is approaching fast... Make sure you are confident with your anatomical knowledge by using Primary Anatomy's question bank, spot tests, flashcards, mock exams, and more. Feel free to forward this reminder to a friend who you know is in the trenches. Good...
Weekly Instagram Quiz!
As many of you may have noticed we are in the habit of running a weekly anatomy question on a Saturday morning via Instagram story – spot test, true/false, single best answer, radiology findings etc. Keep an eye out for this guy as he is a good sign its quiz time! DM...
GSSE Question Bank
Here’s one for all aspiring general and upper GI surgeons, and anyone else preparing to sit the GSSE! Questions on abdominal anatomy, especially the parts of the duodenum, are high yield! The Primary Anatomy question bank has thousands of true/false practice...
GSSE Study
For those of you sitting the October Exam we hope your GSSE study is in full swing! Knowing Last’s and Rohens inside and out is an absolute must. However, there are so many fantastic Anatomy textbooks and Atlases out there! This is just one of our favourites with the...
Ultrasound in Trauma
This study by Rozychi GS et al. examined the accuracy of what is now well known as Focused Abdominal Sonography for Trauma (FAST), and is the landmark paper demonstrating the feasibility and accuracy of the use of surgeon-performed ultrasound. Based on this study and...
Harvey Cushing
Harvey Cushing (1869-1939) is considered to be the father of modern neurosurgery. His host of achievements ranged from pioneering important surgical techniques, introducing non-invasive sphygmanometry, to being the first person to describe Cushings disease. What is...
Sydney University Surgical Society
We are immensely proud to be continuing our partnership and support of the Sydney University Surgical Society! SUSS is the peak representative body for all surgically inclined students at Sydney Medical School, who’s executive team work tirelessly to provide students...
GSSE June 2021
To all of you sitting the GSSE exam tomorrow, good luck! Stay calm, stay confident, keep track of the time and don’t leave any question un-answered. You’ve put in the hard work, now get this exam behind you!
Certificate of Surgical Anatomy!
Introducing some new upgrades to the PA website! First, you can now receive Primary Anatomy’s Certificate of Surgical Anatomy! Add to your CV and have something to show for all your hard work! Secondly, you can compare with your peers and aim to receive a Gold, Silver...
GSSE Practice Question – Single Best Answer!
Who’s confident with the anatomy of the heart? Not only must you be familiar with the external structures but also the pertinent features of each chamber, their relationships and the vertebral level at which they can be found!
Surgical Embryology
A grounding in anatomical embryogenesis should in many ways be the foundation of your anatomical study. It gives insight and understanding to the form, location and relationship of structures, and explains much of the variations and pathology encountered as a surgeon....
Necrotizing pancreatitis – NEJM
Necrotizing pancreatitis with infection is a complicated disease to manage, with high morbidity and mortality regardless of treatment. This excellent RCT from the New England Journal of Medicine demonstrates that the ‘minimally invasive step-up approach’ is a viable...
GSSE June 2021 Countdown
With the next Generic Surgical Sciences Exam (GSSE) less than 2 months away its time to get serious about your study! At this point we hope you’re starting to feel confident in your anatomy knowledge and have covered most of the curriculum. Start to focus on those...
Supporting NSW Medical Students’ Council
We are incredibly proud to be continuing our partnership with New South Wales Medical Students’ Council who are the peak representative body for over 6,000 medical students across nine medical schools in NSW and the ACT. NSW MSC advocate for the well-being,...
Studying for the GSSE
Primary Anatomy is a comprehensive anatomy resource specifically designed for those of you preparing to sit the Generic Surgical Sciences Exam (GSSE), your entry exam into surgical training! Subscribing to Primary Anatomy will unlock access to: - An extensive anatomy...
GSSE 1 Month Subscription
Primary Anatomy is now offering a 1-month subscription! For those who would like to test out the resource or are looking for a pre-exam intensive, this is the study plan for you! Learn more at wpanatomy.vledev.com
Prof. Fiona Woods
Professor Fiona Woods is an Australian Plastic & Reconstructive surgeon world-renowned for her contribution to the field of burns surgery. As director of the Burns Services of Western Australia and head of the Burns Unit at Fiona Stanley Hospital, Professor Woods...
Proudly Supporting ASSA 2021
We are immensely proud to be continuing our partnership with the Australasian Students’ Surgical Association! ASSA is the peak representative body for all surgical societies across Australia and New Zealand, who’s executive team work tirelessly to provide medical...
Novel Surgical Technique for Treating Neuromas
Large neuromas are one of the major setbacks in limb reconstructive surgery and pose a significant challenge in terms of management techniques. The major problem is the lack of direction for the regenerating neuronal axons which proceed to form a hypersensitive...
GSSE Questions
Who’s confident with the anatomy of the thyroid gland? DM your answers to find out the correct response! As Type X Questions make up the majority of your Generic Surgical Sciences Exam we have ensured that the Primary Anatomy Question Bank has a huge distribution of...
GSSE Spot Test Illustrations
With the recent release of our GSSE Anatomy Atlas we are very excited to announce that a whole new set of images are already on their way! All our illustrations and Spot Tests are carefully derived from the key images in Rohen’s Atlas to ensure you are well prepared...





























